
반려동물의 건강 상태를 가장 정확하게 확인할 수 있는 방법은 정기적인 종합검진입니다.
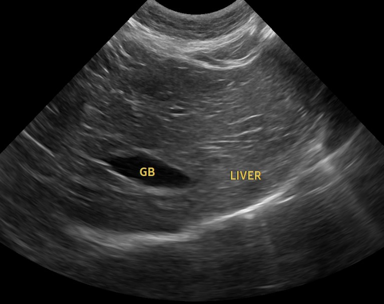
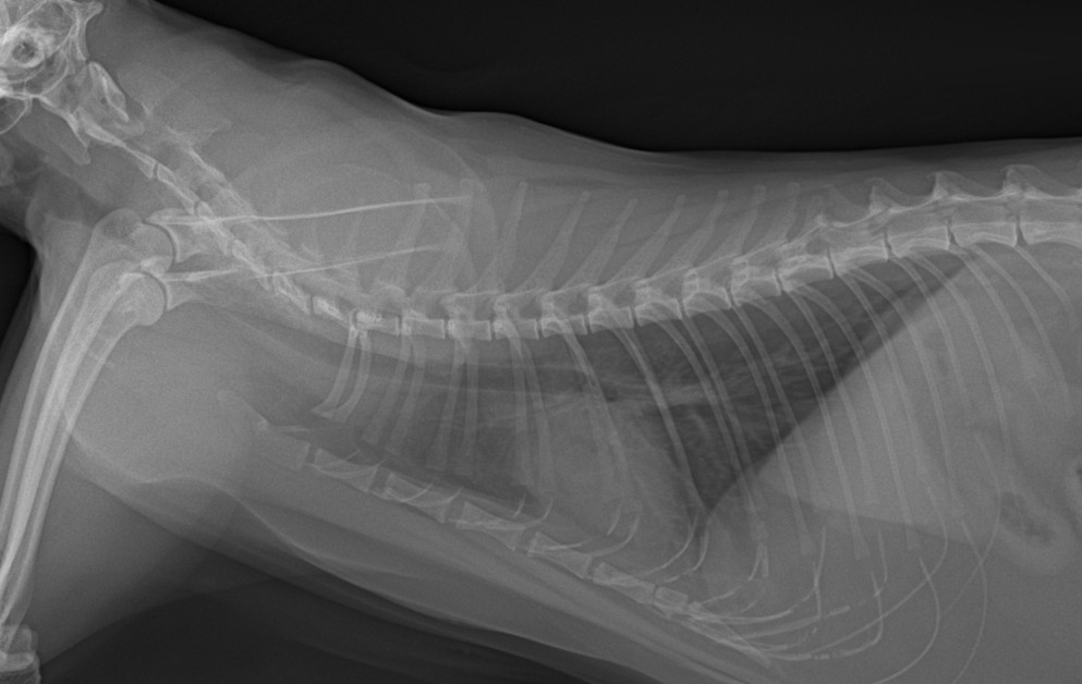
최근 내원한 고양이도 같은 이유로 전반적인 건강 점검을 위해 병원을 찾았고, 혈액·영상 검사부터 구강 상태 확인까지 폭넓게 검진을 진행했습니다.
검진 과정에서 송곳니 주변에 치주염 소견이 확인되어 보호자분과 충분한 상담을 진행한 후, 향후 염증의 재발과 통증을 예방하기 위한 예방적 발치까지 함께 진행했습니다.
저희 병원은 단일 구성의 표준 종합검진 패키지를 운영하고 있습니다.
“왜 정기 건강검진이 중요한가”
반려묘의 건강은 겉으로 보기에는 특별한 이상이 없어 보여도, 몸속에서는 다양한 변화가 서서히 진행되는 경우가 많습니다. 특히 고양이는 통증을 잘 숨기고, 질병이 꽤 진행된 이후에야 증상이 드러나는 경우가 흔하기 때문에 정기적인 전신 검진은 조기 발견을 위한 가장 신뢰할 만한 방법입니다.
이번 아이처럼 특별한 증상을 보이지 않는 경우라도, 혈액검사·초음파·흉부 및 복부 영상검사 등을 한 번에 묶어 진행하면 현재 장기 기능을 객관적으로 확인하고, 잠재적인 질환의 방향성까지 파악할 수 있습니다.
우리 병원은 모든 건강검진을 단일 패키지 형태로 구성해, 보호자분이 어렵게 여러 가지를 선택해야 하는 번거로움을 줄였고, 원장님이 직접 모든 검사를 보고 필요시 치과·내과·영상의학적 판단을 함께 제시하는 점에서 많은 보호자분들이 신뢰해 주십니다.
정기 검진은 단순히 ‘현재 이상이 있는지 확인하는 과정’이 아니라, 앞으로의 건강 계획을 세우기 위한 자료가 되므로 1년에 한 번은 필수, 나이가 조금 올라간 아이들은 6개월~1년에 한 번씩 권장드립니다.
"건강검진에서 진행된 주요 항목 소개”





고양이 건강검진은 단순히 질병을 찾는 과정이 아니라, 앞으로의 삶을 더 건강하게 만들어 주는 ‘기초 데이터’를 쌓는 과정입니다. 이번 아이도 기본 신체검사 후 혈액·소변·방사선·초음파·치과검사(육안)까지 포함된 종합검진 패키지를 진행했습니다. 저희 병원은 불필요한 선택 옵션 없이 ‘단일 패키지’로만 운영해 보호자분들이 헷갈리지 않도록 구성되어 있습니다.


혈액검사에서는 주요 장기 수치, 염증 수치, 전해질 균형 등을 확인했고, X-ray는 흉부·복부 전반의 장기 구조를 점검했습니다. 초음파는 장기 실질 구조나 미세한 이상까지 확인할 수 있어 검진의 핵심 항목으로 포함됩니다. 치과검사는 일반적으로 마취가 동반되어, 구강전용 엑스레이 촬영을 해야 정확한 판단이 가능하지만 치과전문 병원인 만큼 육안으로 기본적인 검사는 해드리고 있습니다.
이러한 종합적인 검사들을 통해 아이의 현재 건강 상태를 객관적으로 파악하고, 앞으로의 관리 방향까지 구체적으로 잡을 수 있습니다.


치과 검진은 종합검진과 별개로 진행되는 이유


건강검진 항목에는 기본적으로 혈액검사, 흉부·복부 영상 검사, 갑상선·심장 관련 체크 등 마취 없이 진행 가능한 프로젝트들이 포함됩니다. 반면 치과 검진은 본격적인 확인을 위해 전신마취가 필요하기 때문에 종합검진 항목에서 제외되는 것이 일반적입니다. 물론 보호자께서 궁금해하시는 부분에 대해서는 외부 치아의 상태를 육안으로 간단히 확인해 드릴 수 있습니다.
이번 아이의 경우도 종합검진 중 치아 문제를 새롭게 발견한 것이 아니라, 과거 본원에서 발치 치료를 받은 이력이 있었기 때문에 원장님이 해당 내역을 숙지하고 있었고, 보호자와 충분히 상담한 뒤 송곳니 치주염에 대한 예방적 발치를 결정한 케이스였습니다.
시급히 제거가 필요한 단계는 아니었지만, 향후 염증 악화 가능성과 관리 부담을 함께 고려하여 진행된 치료였습니다.


종합검진은 기본적으로 현재 건강 상태를 넓게 파악하는 과정이며, 치과 질환처럼 마취가 필요한 세부 진단은 포함되지 않습니다. 다만 이번 아이처럼 과거 발치 이력이나 기존 치과 상태를 의료진이 정확히 알고 있는 경우, 종합검진 결과와 별개로 보호자와 충분히 상담하여 개별적인 치료 결정을 내릴 수 있습니다.
발치는 “시급성”만으로 판단되지 않고,
● 향후의 염증 가능성,
● 치아의 구조적 안정성,
● 보호자의 관리 여건
등을 함께 고려하여 결정해야 합니다.
이번 사례 역시 보호자분과 천천히 이야기 나누며 예방적 발치로 진행되었고, 이후 회복도 안정적으로 이어졌습니다. 병원은 앞으로도 단순한 수치나 검사 결과만이 아니라 각 보호자·반려묘에게 가장 현실적인 선택지를 안내해드리기 위해 노력하겠습니다.
본원에서는 치과 발치나 종합검진을 진행한 반려동물 보호자분들 중 사전에 요청을 주신 경우에 한해, 아이 얼굴이 들어간 맞춤 자수 에코백을 제작해 드리고 있습니다.



에코백은 보호자님께서 보내주신 반려동물 사진을 바탕으로 스케치 후 작업이 이루어지는데, 일반적인 얼굴만 나온 사진보다 모자·안경 같은 액세서리를 착용한 사진, 혹은 아이의 개성이 잘 드러나는 모습이 담긴 사진이 더 완성도가 높습니다. 그때의 추억까지 함께 담을 수 있어 보호자님 만족도가 매우 높은 편입니다.
작은 선물이지만, 아이의 건강관리 과정이 보호자님께 좋은 기억으로 남기를 바라는 마음을 담아 정성껏 제작해 드리고 있습니다.
📞 02-999-7582 💬 카카오톡 상담 : “동물병원 비아츠” 검색
🚗 주차 편리 / 합리적인 진료비 / 동물치과병원
📍 서울 도봉구 우이천로 446-3 1층
"보호자의 마음으로 함께합니다. 정확한 진단, 책임 있는 치료로 보호자와의 신뢰를 지켜가겠습니다."