
강아지 치과 질환이라고 하면 대부분 치석, 치주염, 치아 파절을 떠올립니다.
하지만 구조 자체가 비정상적으로 형성되는 선천성 치아 기형도 존재합니다.
그중 하나가 **치내치(Dens invaginatus)**입니다.
사람 치과에서는 비교적 알려진 질환이지만, 강아지에서 발견되는 경우는 드물기 때문에 보호자분들께서는 거의 들어보지 못하셨을 가능성이 높습니다.
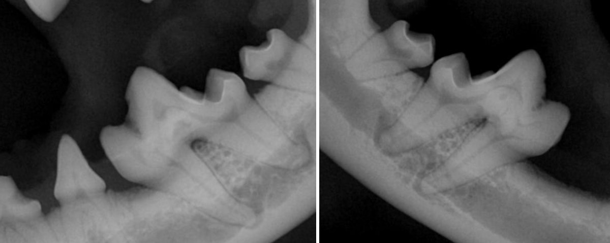
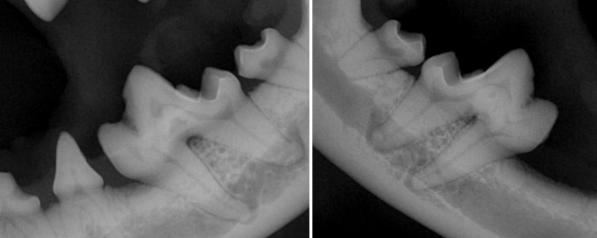
최근 서울 강북구 쌍문동 동물병원 비아츠에는 입가 염증이 반복되는 말티푸 아이가 내원했고, 정밀 방사선 촬영 결과 양측 상악 제1대구치(M1)에서 치내치가 확인되었습니다.

치내치는 치아 발육 과정에서 법랑질과 상아질이 안쪽으로 함입되면서 치수강 내부에 또 하나의 구조가 형성되는 기형입니다.
겉으로 보면 단순한 깊은 홈처럼 보일 수 있습니다.
그러나 방사선 촬영을 해보면 치수관이 정상적으로 이어지지 않고 끊긴 음영 이중 구조처럼 보이는 치근 내부 형태 세균 침투 통로가 형성된 공간 이 확인됩니다.
이 구조는 구조적으로 세균이 머물기 쉬운 형태이기 때문에 치수염, 농양, 치조골 소실로 빠르게 진행되는 특징이 있습니다.
강아지의 경우, 보호자가 알아차릴 때쯤이면 이미 통증이 상당히 진행된 경우도 많습니다.
▩ 품종 : 말티푸
▩ 성별 : 여아
▩ 나이 : 6살
▩ 내원 지역 : 강북구
구각염 반복
음식 섭취 시 불편
특정 부위 저작 회피 단순 치주염으로 보기에는 반복 양상이 이상했습니다.
강북구 동물병원 비아츠에서는 치과 질환이 의심될 경우 단순 육안 검사에 그치지 않습니다.
✔ 전신 마취 하 구강 정밀 검사
✔ 치과 전용 방사선 촬영
✔ 치조골 높이 및 치근 상태 평가


방사선 촬영 결과
양측 상악 제1대구치(M1)에서 치내치 전형적 소견이 확인되었습니다.
이미 치조골 소실이 동반되어 있었고 치아 기능 유지가 어려운 상태였습니다.

치내치는 구조적 문제입니다.
세균이 들어가는 통로가 이미 형성되어 있기 때문에 보존 치료로 완전히 차단하는 것이 어렵습니다.
특히 어금니는 저작 기능이 강하게 작용하는 부위이므로 통증과 염증이 지속될 가능성이 높습니다.
강북구 쌍문동 동물병원 비아츠에서는 양측 상악 M1을 치근 분리 후 단계적으로 제거하는 방식으로 발치를 진행했습니다.
대구치는 뿌리가 2개로 나뉘어 있고 치조골 소실이 동반된 경우 난도가 높은 치아입니다.
치근을 하나씩 분리하여 제거하고 잔존 치조골을 정리한 뒤 조직을 긴장 없이 봉합하는 방식으로 마무리했습니다.


강아지 치과 수술은
발치만 잘한다고 끝나는 것이 아닙니다.
동물병원 비아츠의 기본 원칙은 다음과 같습니다.
치석 제거 후 실제 손상 범위 확인 수술 부위 세균 부하 감소 수술 예측 가능성 향상
치면을 매끄럽게 만들어 재부착을 최소화합니다.
마취 모니터링
수술 중 통증 차단
회복기 진통 관리
치과 수술을 고려하신다면 마취 관리와 회복 관리 시스템이 갖춰져 있는지 확인하셔야 합니다.

● 입가 염증이 반복된다
● 한쪽으로만 씹는다
● 치석이 심하지 않은데도 잇몸이 붓는다
● 특정 어금니 주변 출혈
● 이유 없는 구취
이런 경우 단순 치주염이 아닐 수 있습니다.

보호자분들께서 가장 많이 하시는 말이 있습니다.
“치석이 그렇게 많지는 않았는데요.” 그러나 치내치처럼
구조 내부 문제는 육안으로 확인하기 어렵습니다.
정밀 방사선이 필요한 이유입니다.
강북구 동물병원 비아츠에서는 치과 전용 방사선 장비를 통해 치근 구조와 치조골 상태를 반드시 확인합니다.
이번 아이는
양측 발치를 통해 통증에서 벗어났고 현재 정상 식사가 가능합니다.
치과 질환은 방치 기간이 길수록 수술 범위가 넓어지고 회복 기간도 길어집니다.
강아지 어금니 통증, 반복 염증, 발치 상담이 필요하시다면
동물병원 비아츠에서 정밀 검진을 받아보시기 바랍니다.

서울 강북구 도봉구 쌍문동 인근
강아지 치과 · 발치 · 치주질환 · 구강외과 진료
✔ 치과 방사선 정밀 진단
✔ 단계적 치근 분리 발치
✔ 마취 모니터링 시스템
✔ 회복 관리 프로토콜 운영
📞 전화 상담 가능
02-999-7582
| 강북구 웰시코기 스케일링 사례 - 치은퇴축 있어도 발치하지 않은 이유 (0) | 2026.02.25 |
|---|---|
| 치아흡수병변(FORL) | 진단과 치료, 스케일링으론 안 됩니다. (0) | 2025.11.11 |