
반려견과 함께하는 삶에서 건강한 치아는 단순한 위생 문제를 넘어 삶의 질을 결정짓는 핵심 요소입니다. 특히 웰시코기처럼 활동량이 많고 에너지가 넘치는 아이들에게 '씹는 즐거움'은 스트레스 해소의 가장 큰 수단이죠. 하지만 어느 날 문득 입술을 들춰봤을 때, 붉게 부어오른 잇몸과 치아 뿌리가 보이기 시작하면 보호자의 마음은 덜컥 내려앉습니다.
오늘은 많은 분이 궁금해하시는 강아지 치은퇴축(잇몸 내려앉음) 현상과 함께, 실제 웰시코기 아이의 치료 사례를 바탕으로 발치를 피할 수 있는 수의학적 기준은 무엇인지 심층 분석해 보겠습니다.

웰시코기를 키우시는 분들이라면 공감하시겠지만, 이 친구들은 입매가 길쭉해서 치아 관리가 쉬울 것 같다는 오해를 받곤 합니다. 하지만 실제 입안 구조는 정반대입니다.
■ 조밀한 치아 배열: 웰시코기는 턱의 구조에 비해 치아가 매우 촘촘하게 박혀 있습니다. 이는 치아 사이에 음식물 찌꺼기가 끼기 쉽고, 공기 흐름이 원활하지 않아 세균이 번식하기 최적의 환경을 제공합니다.
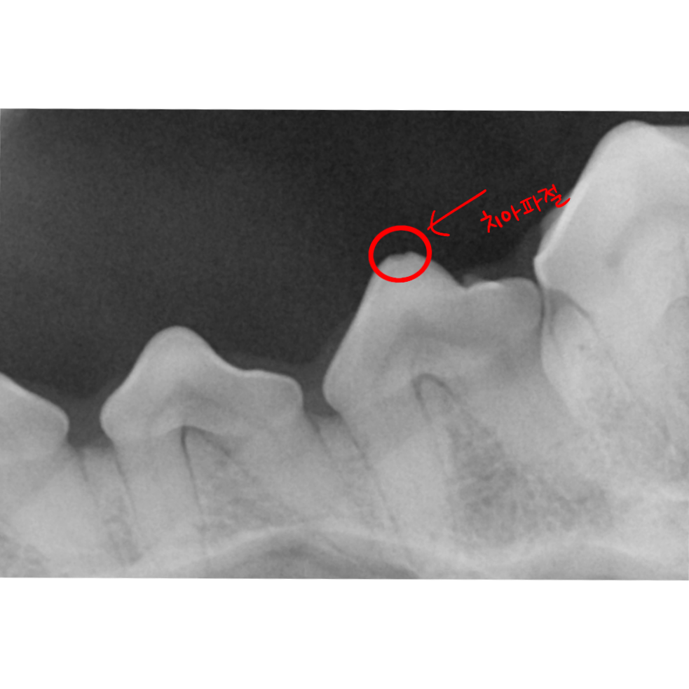
■ 강력한 교근(씹는 힘): 코기들은 무언가를 물고 당기고 뜯는 본능이 강합니다. 이때 발생하는 물리적 압박은 치아 표면의 미세 파절을 유발하고, 손상된 틈으로 치석이 파고드는 악순환을 만듭니다.
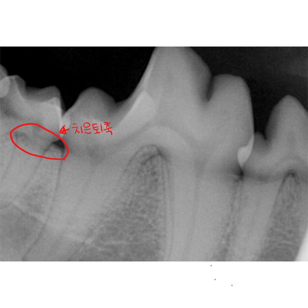
■ 플라크의 석회화: 양치질이 단 하루만 소홀해도 입안의 세균막은 딱딱한 치석으로 변하기 시작합니다. 잇몸 라인을 타고 올라오는 치석은 결국 잇몸을 물리적으로 밀어내며 '치은퇴축'을 일으킵니다.
많은 보호자분이 "잇몸이 저렇게 내려갔는데 당연히 뽑아야 하는 것 아니냐"고 묻습니다. 하지만 수의학적 판단은 단순히 육안에 의존하지 않습니다. 저희가 이번 웰시코기 사례에서 발치 대신 보존을 택한 3가지 핵심 지표는 다음과 같습니다.

① 치아 동요도(Tooth Mobility) 체크
치아가 흔들린다는 것은 치아를 지탱하는 치주 인대가 이미 제 기능을 잃었다는 뜻입니다. 핀셋으로 치아를 가볍게 건드렸을 때 수평이나 수직으로 흔들림이 감지된다면 발치가 불가피하지만, 이번 사례의 아이는 잇몸이 소실되었음에도 치아 자체는 잇몸뼈에 단단히 고정되어 있었습니다.
② 구강 엑스레이를 통한 치조골 분석 (가장 중요!)

겉으로 보이는 잇몸은 '살'에 불과합니다. 진짜 중요한 것은 치아를 잡고 있는 '뼈(치조골)'입니다. 정상 범위: 엑스레이상에서 치조골의 높이가 치근(뿌리)의 상당 부분을 감싸고 있다면 보존이 가능합니다. 발치 대상: 치조골이 녹아내려 치아 뿌리가 절반 이상 드러나고 뼈 사이가 비어 있다면, 이는 통증의 원인이 되므로 발치를 권장합니다.
③ 치주낭(Periodontal Pocket)의 깊이 측정

탐침기(Probe)를 잇몸 사이에 넣었을 때 들어가는 깊이를 측정합니다. 이번 아이는 염증 반응은 있었으나 주머니의 깊이가 깊지 않아, 스케일링을 통한 세균 제거만으로도 충분히 회복 탄력성을 기대할 수 있는 수준이었습니다.


치과 치료는 병원에서 끝나는 것이 아니라, 집 문을 열고 들어가는 순간부터 다시 시작됩니다. 특히 치은퇴축이 시작된 아이들은 재발 위험이 높기 때문에 더 세밀한 접근이 필요합니다.
1. 양치질의 패러다임 전환: "오늘 꼭 다 닦겠다"는 욕심보다는 "오늘은 어금니 한쪽만이라도 닦자"는 마음가짐이 중요합니다. 아이가 양치에 대한 공포를 느끼면 평생 관리가 불가능해집니다. 치약의 맛을 먼저 보게 하고, 부드러운 실리콘 칫솔부터 단계별로 적응시켜 주세요.
2.딱딱한 간식 금지령: 치아 파절 흔적이 있는 아이들은 이미 치아 에나멜층이 약해져 있을 가능성이 큽니다. 나무막대기, 플라스틱 장난감, 지나치게 딱딱한 개껌은 오히려 독이 됩니다. 손으로 눌렀을 때 약간의 탄성이 느껴지는 제품을 선택하세요.
3.주기적인 '자가 검진' 습관: 일주일에 한 번은 아이의 입술을 뒤집어보세요. 잇몸의 색이 연분홍색을 유지하는지, 혹시 피가 비치거나 구취가 갑자기 심해지지는 않았는지 체크하는 것만으로도 질환의 심화를 80% 이상 막을 수 있습니다.
진료실에서 만나는 많은 보호자분이 자책하며 말씀하십니다. "제가 조금만 더 신경 썼더라면..." 하지만 치주 질환은 관리의 소홀함보다는 노화와 구조적 요인이 복합적으로 작용하는 만성 질환입니다. 중요한 것은 지나간 시간이 아니라, 지금 이 순간 우리가 내릴 수 있는 최선의 결정입니다.
오늘 소개한 웰시코기 아이처럼 적절한 시기에 정밀 검사를 받는다면, 어려운 수술 없이도 아이의 소중한 미소를 지켜줄 수 있습니다. 지금 바로 우리 아이의 잇몸을 한 번 확인해 보세요.
혹시 양치 중에 피가 났나요?
예전보다 입 냄새가 독해졌나요?
특정 쪽으로만 음식을 씹으려 하나요?
만약 하나라도 해당된다면, 고민보다는 전문가와의 상담을 통해 우리 아이에게 맞는 구강 로드맵을 그려보시길 권장합니다.
[진료 예약 및 안내]
동물병원 비아츠
전화: 02-999-7582 카카오톧 : 동물병원 비아츠
위치: 서울 도봉구 우이천로 446-3 (덕성여대 후문)
전용 주차장 보유로 주차 스트레스 없습니다.
| 고양이 송곳니 발치, 꼭 해야 할까요? 진료 사례로 본 통증의 진실과 발치 후 변화 (0) | 2026.04.20 |
|---|---|
| 강북구 웰시코기 스케일링 사례 - 치은퇴축 있어도 발치하지 않은 이유 (0) | 2026.02.25 |
| 강북구 강아지 치내치 발치 사례 | 쌍문동 동물병원 비아츠 치관 진료 (0) | 2026.02.18 |
| 치아흡수병변(FORL) | 진단과 치료, 스케일링으론 안 됩니다. (0) | 2025.11.11 |