
강북구에서 웰시코기를 키우는 보호자분이 내원하셨습니다.
양치를 하다 보니 송곳니 뒤쪽 어금니의 잇몸 라인이 예전보다 내려가 보였고, 치아 표면도 살짝 깨져 있는 것 같아 걱정이 되었다고 하셨습니다.
특히 “이 정도면 발치를 해야 하나요?”라는 질문을 가장 먼저 주셨습니다.
구강 질환에서 보호자분들이 가장 두려워하는 결정이 바로 발치이기 때문입니다.
웰시코기는 활동량이 많고 씹는 힘이 강한 견종입니다.
저작 욕구가 강하다 보니 치석이 빠르게 쌓이기도 하고, 단단한 간식을 즐기는 과정에서 치아 표면에 미세한 파절이 생기기도 합니다. 이런 변화가 보이면 보호자는 ‘치아를 빼야 하는 단계는 아닐지’부터 떠올리게 됩니다.


웰시코기는 입매가 길어 치아 관리가 쉬워 보이지만, 실제로는 치아 사이 간격이 촘촘하게 배열되어 있습니다. 음식물 찌꺼기와 세균막이 머물기 좋은 구조입니다. 여기에 씹는 힘이 강하고 장난감이나 간식을 오래 무는 습관이 더해지면 치석 형성 속도는 빠르게 진행됩니다.
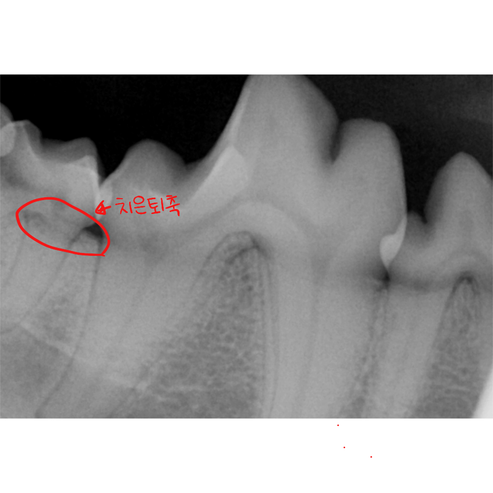
치석이 쌓이면 잇몸 가장자리부터 염증이 시작됩니다. 초기에는 붉게 보이는 정도지만, 관리 시기를 놓치면 잇몸 높이가 점차 내려가는 치은퇴축으로 이어질 수 있습니다. 보호자 입장에서는 잇몸이 내려가 보이면 상태가 이미 심각해졌다고 느끼기 쉽습니다.
이번 사례의 아이 역시 송곳니 뒤쪽 어금니 부위에 치은퇴축이 관찰되었고, 치아 표면 일부에 미세한 파절이 확인되었습니다. 겉으로 보기에는 발치를 고려해야 할 것처럼 보일 수 있는 상태였습니다.
그러나 구강 질환의 결정은 외형만으로 판단하지 않습니다. 실제로 중요한 것은 치아를 지탱하는 내부 구조가 얼마나 유지되고 있는지입니다. 이를 확인하기 위해 발치 여부를 가르는 정밀 검사를 진행하였습니다.

동물병원 비아츠에서는 발치 여부를 육안만으로 판단하지 않습니다. 치아를 살릴 수 있는지 여부는 반드시 단계적인 검사를 통해 확인합니다. 이번 웰시코기 사례에서도 다음 세 가지 기준을 중심으로 평가하였습니다.
1. 치아 동요도 확인
치아가 얼마나 단단히 고정되어 있는지를 먼저 확인합니다. 손이나 기구로 가볍게 자극했을 때 쉽게 흔들린다면 치주 인대와 치조골의 손상이 진행되었을 가능성이 큽니다.
이번 아이의 경우 잇몸 라인이 내려간 변화는 있었지만, 치아 자체는 안정적으로 고정되어 있었습니다.
2. 구강 엑스레이를 통한 치조골 분석
발치 여부를 결정하는 가장 중요한 기준은 구강 엑스레이입니다. 치아 뿌리를 감싸고 있는 치조골의 높이가 얼마나 유지되고 있는지를 확인해야 합니다.
검사 결과, 해당 부위의 치조골 높이는 정상 범위 내에 있었고 뿌리 끝까지 진행된 골 소실은 관찰되지 않았습니다. 치아를 지탱하는 기반 구조가 유지되고 있다는 의미입니다.
3. 치주낭 깊이 측정
탐침을 이용해 잇몸과 치아 사이의 치주낭 깊이를 측정합니다. 염증이 심해지면 이 공간이 깊어지고 세균이 뿌리 쪽으로 침투하게 됩니다.
이번 사례에서는 염증 반응은 있었지만 치주낭 깊이는 관리 가능한 수준으로 확인되었습니다.
이 세 가지 기준을 종합했을 때, 해당 치아는 발치가 필요한 단계로 보기는 어렵다고 판단하였습니다. 치아를 지탱하는 생물학적 기반이 충분히 유지되고 있었기 때문입니다.

세 가지 기준을 종합한 결과, 이번 웰시코기 아이는 발치가 필요한 단계는 아니라고 판단하였습니다.
잇몸 라인은 일부 내려가 있었지만 치아는 단단히 고정되어 있었고, 구강 엑스레이상 치조골의 높이도 유지되고 있었습니다. 치주낭 깊이 역시 적극적인 관리가 가능한 수준이었습니다. 치아 표면의 파절 또한 신경이 노출된 상태가 아닌, 법랑질 범위 내의 미세 파절로 확인되었습니다.
이 경우 무리하게 발치를 진행하는 것보다, 원인이 되는 치석과 염증을 제거하고 현재의 건강한 구조를 최대한 보존하는 방향이 장기적인 예후에 더 유리합니다.
따라서 이번 치료는 전신 마취 하에 스케일링을 진행하고, 치아 표면을 매끄럽게 정리한 뒤 구강 환경을 재정비하는 것으로 계획하였습니다.
구강 질환에서 중요한 것은 ‘지금 당장 많이 나빠 보이느냐’가 아니라, 치아를 지탱하는 기반이 유지되고 있느냐입니다. 이 기준이 유지된다면 발치 없이 관리할 수 있는 가능성은 충분히 열려 있습니다.

진료실에서 가장 많이 받는 질문 중 하나가 “잇몸이 내려갔는데 안 뽑아도 되나요?”입니다.
치은퇴축이라는 단어 자체가 심각하게 들리기 때문에, 이미 돌이킬 수 없는 단계라고 느끼는 경우가 많습니다.
하지만 치은퇴축은 ‘잇몸 높이의 변화’를 의미할 뿐, 곧바로 발치가 필요하다는 뜻은 아닙니다. 다음 조건이 충족된다면 보존 치료가 충분히 가능합니다.
● 엑스레이상 치조골 높이가 유지되어 있는 경우
● 치아 동요도가 거의 없는 경우
● 치주낭 깊이가 관리 가능한 범위에 있는 경우
● 치아 파절이 신경 노출 없이 표면 범위에 그친 경우
이번 웰시코기 아이는 이 네 가지 기준을 모두 충족하였습니다. 겉으로 보이는 변화는 있었지만, 치아를 지탱하는 구조가 안정적으로 유지되고 있었기 때문에 스케일링과 관리 계획 수립으로 방향을 결정하였습니다.
구강 질환은 외형보다 내부 상태가 중요합니다. 눈으로 보이는 잇몸 높이만으로 판단하면 과도한 치료로 이어질 수 있고, 반대로 겉으로 괜찮아 보여도 내부 골 소실이 심한 경우도 있습니다. 그래서 구강 엑스레이 검사는 선택이 아니라 필수 과정입니다.

스케일링은 시작일 뿐, 결과를 완성하는 단계는 아닙니다.
치석과 염증의 원인을 제거해 구강 환경을 정리해 주는 과정이며, 이후 관리에 따라 예후는 크게 달라집니다.
이번 웰시코기 아이처럼 초기 변화 단계에서 치료를 진행한 경우에는 특히 관리의 지속성이 중요합니다.
1. 양치는 강도가 아니라 지속성입니다
하루 세 번 완벽하게 닦는 것보다, 아이가 거부감을 느끼지 않는 범위에서 꾸준히 유지하는 것이 현실적입니다. 양치 젤이나 구강 세정제를 병행해 자극을 줄이는 방법도 도움이 됩니다.
2. 간식 선택 기준을 조정해야 합니다
씹는 힘이 강한 아이일수록 지나치게 단단한 간식은 추가적인 치아 파절 위험을 높일 수 있습니다. 손으로 눌렀을 때 약간의 탄성이 느껴지는 제품이 비교적 안전합니다.
3. 정기적인 구강 확인이 필요합니다
최소 주 1회는 입술을 살짝 들어 잇몸 색을 확인합니다. 짙은 붉은색이나 출혈이 보인다면 검진 시점을 앞당기는 것이 좋습니다. 작은 변화를 빠르게 인지하는 것이 악화를 막는 가장 현실적인 방법입니다.
구강 문제를 발견했을 때 보호자분들이 가장 먼저 느끼는 감정은 미안함입니다.
그러나 치주 질환은 관리의 공백이 생기면 누구에게나 발생할 수 있는 만성 질환입니다.
중요한 것은 과거의 관리가 아니라, 현재 상태를 정확히 파악하고 적절한 단계에서 개입하는 것입니다.
이번 웰시코기 아이는 치은퇴축과 미세 파절이 있었지만, 구강 엑스레이와 정밀 검사를 통해 발치 없이 스케일링으로 관리할 수 있었습니다. 초기 단계에서 방향을 바로 잡았기 때문에 가능했던 결정입니다.
강북구, 도봉구에서 반려견의 잇몸 변화나 치석 문제로 고민하고 계신다면, 육안 판단만으로 결론을 내리기보다는 정밀 검사를 통해 현재 상태를 확인하는 것이 우선입니다.
치아는 한 번 발치하면 되돌릴 수 없습니다.
반대로, 살릴 수 있는 치아는 최대한 보존하는 것이 장기적인 삶의 질에 도움이 됩니다.
상태가 애매하게 느껴진다면 상담을 통해 관리 단계부터 설정해 보시기 바랍니다.
하지만 잇몸이 내려갔다고 해서, 치아가 살짝 깨졌다고 해서 곧바로 발치가 필요한 것은 아닙니다.
정확한 판단은 눈으로 보이는 상태가 아니라, 치아를 지탱하는 내부 구조가 얼마나 건강한지를 확인한 뒤에 내려야 합니다.
이번 웰시코기 아이 역시 같은 고민으로 강북구 비아츠 동물병원에 방문하였고, 발치 여부를 결정하기 위한 정밀 검사를 순서대로 진행하였습니다.
동물병원 비아츠
02-999-7582
▣ 전용 주차장 보유 주차스트레스 0%
▣ 동물치과(전발치 1,500건 돌파)
▣ 합리적인 비용
| 강북구 강아지 치내치 발치 사례 | 쌍문동 동물병원 비아츠 치관 진료 (0) | 2026.02.18 |
|---|---|
| 치아흡수병변(FORL) | 진단과 치료, 스케일링으론 안 됩니다. (0) | 2025.11.11 |